카카오 회원 가입 시 2,000원 할인쿠폰
스토리 제품 블로그 제품 후기
NOCT Research Logo

불안을 달래고 숙면을 돕는 가바(GABA)란? 가바 효능, 부작용, 복용방법 총정리

수면에 핵심적으로 작용한다는 가바 수용체란 무엇일까요? 가바 효과를 극대화해서 숙면을 돕는 제품까지 확인해보세요.
김소정's avatar
김소정
Oct 28, 2025
불안을 달래고 숙면을 돕는 가바(GABA)란? 가바 효능, 부작용, 복용방법 총정리
Contents
한눈에 빠르게! 가바 선택 30초 가이드가바란? 뇌의 천연 진정제가바 수면 효과 - 불면증 개선의 핵심가바 불안 완화 효과 - 스트레스 해소의 과학가바 부작용 및 주의사항가바의 일반적인 부작용가바 복용 시 주의사항가바 복용법 - 효과적인 복용량과 복용시간가바 권장 복용량가바 권장 복용 시간가바 테아닌 함께 먹으면?가바 추천 - 발효가바 vs. 합성가바 제품 선택법발효가바합성가바발효가바 vs. 합성가바 비교✅ 가바 수면영양제 체크리스트자주 묻는 질문 5가지Q1. 가바는 매일 먹어도 되나요?Q2. 혈압약과 상호작용이 있나요?Q3. 가바는 언제 먹는 게 좋나요?Q4. 테아닌과 같이 먹어도 되나요?Q5. 임산부도 복용 가능한가요?가바 효과를 극대화하는 방법 - 녹트리서치 슬립케어

잠 못 이루는 밤, 가바 효능이 답이 될 수 있어요.

가바는 뇌의 흥분을 억제하는 천연 신경전달물질로, 약에 의존하지 않고 자연스럽게 숙면을 취하고 싶은 분들에게 과학적으로 검증된 해답이 될 수 있죠.

밤마다 뒤척이고 불안에 시달리는 분들을 위해 가바 수면 개선 효과부터 올바른 복용법, 주의사항, 함께 섭취하면 좋은 수면영양제까지 한 번에 알려 드릴게요!

한눈에 빠르게! 가바 선택 30초 가이드

  1. 가바는 뇌의 천연 진정제로 불안 완화와 수면 개선에 효과적이에요.

  2. 발효가바인지 반드시 확인하세요. 합성가바보다 흡수율과 효과가 훨씬 뛰어나요.

  3. 테아닌과 함께 복용하면 수면의 질이 99.6%까지 증가해요.

  4. 저녁 식후 또는 자기 30분~1시간 전 복용이 가장 효과적이에요.

  5. 저혈압, 임산부, 혈압약·진정제 복용자는 전문가와 상담 후 복용하세요.

가바란? 뇌의 천연 진정제

가바 신경전달물질 작용 메커니즘 도식 | 녹트리서치
가바의 뇌 신경전달물질 작용 기전 (출처: ACS Chem. Neurosci. 2023)

가바(GABA, 감마아미노부티르산)는 우리 뇌에서 자연적으로 생성되는 억제성 신경전달물질이에요.

가바의 주요 역할은 신경세포가 과도하게 흥분하는 것을 막아주는 것이에요. 마치 자동차의 브레이크처럼 뇌가 지나치게 활성화되지 않도록 제어하죠. 이 덕분에 '뇌 속 천연 진정제'라는 별명이 붙었어요.

문제는 스트레스를 받거나 불안할 때예요. 이런 상황에서는 체내 가바 수준이 떨어지고, 그 결과 불안감, 불면증, 집중력 저하 등이 나타날 수 있어요. 실제로 불면증 환자들의 뇌를 분석한 연구에서 일반인보다 가바 농도가 현저히 낮게 측정되었어요.

우리나라에서는 식약처가 2009년, 혈압 강하 기능성을 인정하면서 가바가 건강기능식품으로 본격적으로 주목받기 시작했어요. 2022년에는 가바 효능으로 수면의 질 개선 기능성도 인정받았어요.

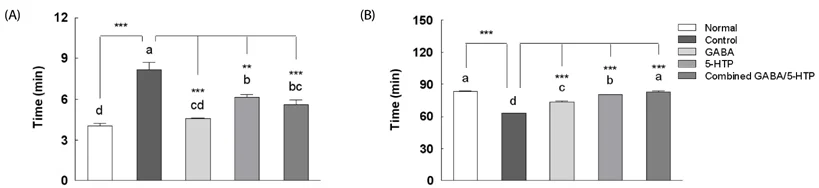
가바 수면 효과 - 불면증 개선의 핵심

가바 GABA 효능 수면의 질 수면 시간 개선 효과 그래프
GABA가 수면 시작 및 수면 지속 시간에 미치는 영향 (출처: NRP)

가바의 가장 대표적인 효능은 수면의 질 개선이에요.

2018년에 발표된 불면증 환자를 위한 가바 연구에 따르면, 불면증 환자들이 발효 가바를 4주간 복용한 결과 잠들기까지 걸리는 시간(수면 잠복기)이 크게 단축되고 수면 효율이 향상되었어요.

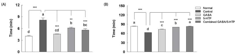
가바 불안 완화 효과 - 스트레스 해소의 과학

가바 GABA 효능 불안 완화 스트레스 해소 실험
쥐를 대상으로 한 가바 섭취시 스트레스 해소 실험 (출처: nature)

가바 불안 완화 효과는 시험이나 중요한 발표를 앞두고 긴장되는 분들에게 특히 도움이 돼요. 가바는 뇌파를 안정시키고 흥분을 억제하는 신호를 보내 긴장을 풀어주고, 불안감을 줄여줘요.

2006년, 고소공포증이 있는 피험자를 현수교를 건너게 하는 실험을 진행했어요. 정신적 스트레스를 받는 상황에 놓이게 해, 면역 수치를 측정했어요.

다리를 건너는 동안 면역 수치를 모니터링한 결과, GABA를 섭취한 피험자 그룹에서 면역 수치가 유의미하게 증가했어요. 가바의 항스트레스 효과가 과학적으로 입증된 거예요.

이외에도 가바는 혈압 조절, 집중력 향상, 근육 이완 효과 등의 효능이 있어요.

가바 부작용 및 주의사항

가바 부작용 주의사항 안전한 복용법

가바는 체내에서 자연적으로 생성되는 물질이기 때문에 대체로 안전해요. 하지만 과량 섭취하거나 특정 조건에 해당하는 경우 주의가 필요해요.

가바의 일반적인 부작용

권장량을 초과하여 복용할 경우 부작용이 나타날 수 있어요. 증상이 나타나면 즉시 복용을 중단하고 전문가와 상담하세요.

  • 졸음, 현기증

  • 저혈압 증상(어지러움, 무기력)

  • 호흡곤란(극히 드물게)

가바 복용 시 주의사항

가바는 혈압을 낮추는 효과가 있어 저혈압 환자가 복용하면 어지러움이나 실신 위험이 있어요. 또한, 혈압약과 가바를 함께 복용하면 혈압이 지나치게 떨어질 수 있어요. 의사와 상담 후 복용하세요.

진정제, 수면제 같은 중추신경계 계통 약물과 병용 시 과도한 졸림, 호흡곤란 위험이 있어요.

임산부 및 수유부라면, 임산부와 수유부를 대상으로 한 안전성 데이터가 부족하므로 복용을 자제하세요.

📚함께 읽으면 좋은 글

임신 중 복용 가능한 수면영양제 고르는 법

가바 복용법 - 효과적인 복용량과 복용시간

가바 GABA 복용법 권장량 먹는 시간 효과적인 섭취 방법

가바 권장 복용량

식약처 기준 가바 복용법을 보면, 가바의 일일 권장량은 80~300mg이에요. 대부분의 연구에서는 수면 개선을 위해 300~500mg을 사용했어요.

처음 복용하는 분들은 낮은 용량(100~200mg)부터 시작해서 본인의 반응을 살피며 점차 늘려가는 것이 안전해요.

가바 권장 복용 시간

가바는 자기 전 복용하는 게 가장 효과적이에요. 저녁 식후나, 자기 30분~1시간에 복용하세요. 진정·이완 효과가 있으므로 낮 시간에 복용하면 졸음이 올 수 있으니 중요한 회의나 운전 전에는 피하세요.

가바 테아닌 복용 효과 수면 시간 개선
가바/ L- 테아닌 혼합물이 수면 잠복기(A, C)와 수면 지속 시간(B, D)에 미치는 영향 (출처: PMC)

가바 테아닌 함께 먹으면?

가바와 테아닌을 함께 섭취하면 깊은 수면 단계인 비REM 수면 시간이 99.6%까지 증가한 것으로 나타났어요. 가바 단독 섭취 시에는 71.5%, 테아닌 단독 섭취 시에는 88.6% 증가에 그쳤지만, 두 성분을 함께 먹었을 때 시너지 효과가 극대화된 것이죠.

가바 500mg에 테아닌 200mg 조합이 이상적이며, 많은 수면 보조제가 이 비율로 제조돼요.

📚 함께 읽으면 좋은 글

테아닌 효능 효과부터 부작용까지 총정리

가바 추천 - 발효가바 vs. 합성가바 제품 선택법

발효가바 생성 원리 발효가바 효과
발효가바 자연적 합성 과정 (출처: MDPI)

가바는 제조 방법에 따라 발효가바와 합성가바로 나뉘어요. 합성가바보다 발효가바가 훨씬 효과가 좋아요. 제품 선택 시에는 반드시 '발효가바' 여부를 확인하세요!

발효가바

젖산균 발효 등 천연공법으로 얻어진 순도 99% 이상의 가바예요. 흡수율과 생체이용률이 뛰어나, 일본과 국내에서 발효가바의 효과 연구가 활발히 진행되고 있어요. 대부분의 임상시험도 발효가바로 진행되었어요.

  • 높은 흡수율과 생체이용률

  • 천연 유래 성분으로 안전성 우수

  • 과학적 연구 데이터 풍부

합성가바

화학적 합성으로 만든 가바로, 가격은 저렴하지만 흡수율과 효과가 발효가바에 비해 떨어져요. 또한 부형제나 용매에 따른 안전성 문제도 고려해야 해요.

  • 낮은 흡수율

  • 효과 검증 데이터 부족

  • 화학 공정 과정의 불순물 가능성

발효가바 vs. 합성가바 비교

구분

발효가바

합성가바

흡수율

높음

낮음

가격

중-고

저

안전성

우수

보통

임상 데이터

풍부

부족

식약처 인정

인정 받음

제한적

✅ 가바 수면영양제 체크리스트

  1. 발효 여부: '발효가바' 또는 'Fermented GABA' 표기 확인

  2. 함량: 1회 제공량당 최소 250mg 이상 (이상적으로는 500mg)

  3. 부형제·첨가물: 불필요한 첨가물이 적을수록 좋음

  4. 복합 성분: 테아닌, 글리신, 마그네슘 등 시너지 성분 포함 여부

  5. 브랜드 신뢰도: GMP 인증, HACCP 인증 등

  6. 인증마크: 식약처 기능성 인정 표시

가바 효능 자주 묻는 질문

자주 묻는 질문 5가지

Q1. 가바는 매일 먹어도 되나요?

A. 가바는 체내 천연 물질이므로 매일 복용 가능해요. 장기 복용으로 인한 심각한 부작용은 보고되지 않았어요. 다만 만성 질환이 있거나 다른 약물을 복용 중이라면 전문가와 상담 후 드세요.

Q2. 혈압약과 상호작용이 있나요?

A. 가바는 혈압을 낮추는 효과가 있어 혈압약과 함께 복용하면 혈압이 지나치게 떨어질 수 있어요. 반드시 의사와 상담 후 복용하세요.

Q3. 가바는 언제 먹는 게 좋나요?

A. 가바 자기 전 30분~1시간에 복용하는 것을 추천해요.

Q4. 테아닌과 같이 먹어도 되나요?

A. 함께 먹기를 적극 권장해요! 가바와 테아닌을 병용했을 때 두 성분은 상호 보완적으로 작용해요. 가바 500mg, 테아닌 200mg 조합이 이상적이에요.

Q5. 임산부도 복용 가능한가요?

A. 임산부와 수유부를 대상으로 한 안전성 데이터가 부족해요. 원칙적으로 복용을 자제해야 해요. 임신 계획 중이라면 다른 성분을 찾아보세요.

슬립케어 가바 효과 높이는 법

가바 효과를 극대화하는 방법 - 녹트리서치 슬립케어

가바와 테아닌을 함께 복용하면 수면의 질이 99.6%까지 증가해요.

가바를 이미 복용 중이시거나 계획 중이시라면, 녹트리서치 슬립케어를 고려해 보세요.

테아닌·락티움·마그네슘·비타민B6 4가지 성분이 가바의 수면 효과를 극대화해줘요.

✅ 테아닌 200mg: 뇌파 안정

✅ 락티움 150mg: GABA 수용체에 작용, 불면 완화

✅ 마그네슘+비타민B6: 근육 이완, 신경전달물질 합성

✅ 임산부 섭취 인증: 국내 유일 임산부, 수유부 인증

✅ 비호르몬 천연 성분: 6개월 이상 장기 복용도 안전

각 성분을 따로 구매할 필요 없이, 가바에 녹트리서치 슬립케어 하나만 더하면 완벽한 수면 조합이 완성돼요. 하루 2알로 오늘부터 수면 건강을 지켜 보세요.

✍️

저자(Author): 김소정 녹트리서치 대표

김소정 대표는 KAIST를 졸업한 뒤 수면 영양 브랜드 '녹트리서치'를 창업했으며, IPHI 국제 성인수면코치 자격을 보유하고 있습니다. 그는 오랜 세월 스스로 겪었던 불면증 경험을 바탕으로, 과학 연구 기반의 수면영양제 '녹트리서치 슬립케어'를 만들었습니다. 녹트리서치는 락티움, 테아닌, 마그네슘을 배합한 비호르몬 수면 영양제 '슬립케어'를 중심으로, 호르몬 균형과 스트레스 관리를 통합적으로 고려한 맞춤형 수면 솔루션을 제공합니다.

Share article

녹트리서치

RSS·Powered by Inblog